世界医疗网(上海)特邀通讯员顾海鹰报道 门诊会遇到很多病人,被胃食管反流病症状折磨苦不堪言。要么吃了药没用、要么吃的时候还有用,但是不能停药,一停症状马上反复(反酸、烧心、咽部异物感、咳嗽甚至哮喘)。因为长期吃制酸药(PPI制剂)胃里不停地长出息肉,时间长了害怕变肿瘤。
经常问我的问题是:为什么我的反流症状总是好不了?
通常我会举一个“冰箱制冷”的例子说明问题。

冰箱制冷效果不好,最直接最简单的问题是什么呢?不是压缩机不给力;不是制冻液没加满;也不是冰箱里东西太多,而是----------------冰箱门没关好。

胃食管反流病的一个根本原因也是这样的---------------“门”没关好!这个门就是我们食物经过食管进入胃的大门。平时她是紧闭的,可以防止胃里的东西反流进入食管。但是由于一些原因导致这个“门”不能关紧,长期处于松弛状态的话,您胃里的东西就会随时倒流入食管。所以,如果您是因为“门”松弛的问题导致的反流,无论您饮食如何调整、用药如何升级,治疗效果就像冰箱不关门一样,是无效的。
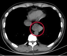
我们如何去发现我们的这扇门有没有关紧呢?
胃镜可以直观地看到胃食管结合部的松紧程度
CT可以发现食管裂孔扩大,胃上移到胸腔,形成食管裂孔疝
上消化道钡餐可动态见到胃食管反流表现
如果您有以上表现,则需通过外科腹腔镜手术来把这个松弛的“门”收紧,这样才是从根本上解决反流症状的关键。

腹腔镜手术通过在腹部几个小孔,把食管胃结合部的“闸门”收紧,这种“微创”手术具有创伤小、疼痛轻、恢复快等优点。术后2-3天就可康复出院。从此告别恼人的反流烧心、反流性咽部不适和咳嗽。
治病必须治本!
专家简介:

夏阳
上海第六人民医院胃肠外科亚专业组长
外科学博士 副主任医师
中国医师协会胃食管反流病科普专业委员会委员
中国医促会胃食管反流病学分会委员
上海抗癌协会癌症预防与筛查专业委员会委员
上海CDC肿瘤外科和跨学科专业委员会委员
上海市抗癌联盟结直肠专委会委员
参与了多项国家级、省部级科研课题。发表SCI文章10余篇,国内核心期刊文章20余篇。多项主要参与课题成果曾获上海市医学科技奖三等奖、国家教育部科学技术进步一等奖、上海市技术发明奖三等奖。
专家门诊:每周三下午
食管裂孔疝及反流病专题门诊:每周三上午

朱庆超
外科学博士,胃肠外科主治医师
上海市医师协会会员,上海市第六人民医院年度优秀员工,援滇优秀医疗队员
参与国家自然科学基金2项(重点项目1项,面上项目1项),主持及参与院级课题各1项,以第一作者和通讯作者发表20余篇,其中SCI论文收录10余篇。
擅长:腹腔肿瘤如胃癌、结直肠癌、胃肠道间质瘤等肿瘤性疾病的腹腔镜微创手术治疗及围手术期综合治疗;以及普外科常见疾病如阑尾炎、腹股沟疝、食管裂孔疝、甲状腺肿瘤等疾病的微创手术治疗。
专病门诊时间:周一下午,周四下午
执行主编/尹学兵
值班编辑/刘丹红
文中图片均获版权方授权


有任何意见、建议、投稿,欢迎 发送到邮件sjyl1901@163.com