变应性鼻炎(Allergic rhinitis, AR)又称为过敏性鼻炎,是一种常见的慢性非感染性炎症性疾病。发病率逐年增高。

PM2.5对AR的发病发挥重要作用,预防PM2.5对过敏性鼻炎的影响引起极大的关注。熊果酸是(Ursolic acid,UA)一种五环三萜(分子式C30H48O3)类化合物,通常以游离或苷的形式存在于女贞子、夏枯草、枇杷叶等多种天然药物中,在变态反应炎症防治具有较大的潜力,前期研究发现UA可减轻变应性鼻炎大鼠模型的症状,抑制PM2.5暴露后的过敏性鼻炎模型血清中Th2细胞因子的表达,降低OVA特异性IgE水平,对PM2.5诱导和加剧的过敏性鼻炎免疫反应具有保护作用。
我们团队既往的研究发现PM2.5可增强过敏性鼻炎炎症反应进一步引起鼻黏膜组织损害。为了进一步研究UA是否可以逆转PM2.5对过敏性鼻炎大鼠的这些不良影响,随后我们采用卵清蛋白(ovalbumin,OVA)腹腔注射基础致敏和鼻内滴注激发进行过敏性鼻炎造模,进行PM2.5暴露后采用UA灌胃干预。观察各组大鼠的过敏性鼻炎症状,评估UA对PM2.5暴露后过敏性鼻炎大鼠模型生物学行为的影响,鼻粘膜组织中黏蛋白MUC5AC的表达和上皮杯状细胞数量和胶原沉积的情况。结果发现,PM2.5的暴露导致过敏性鼻炎大鼠症状加重,促进黏蛋白MUC5AC的分泌,杯状细胞增生和胶原沉积加重,而UA可使PM2.5暴露引发的过敏性鼻炎症状减轻、鼻黏膜分泌和组织重塑的改变减轻。UA可以抑制鼻腔黏膜分泌和结构重塑,从而发挥缓解变应性鼻炎的作用。这对防治环境中PM2.5暴露对过敏性鼻炎的加重作用有重大意义[1]。

图1 熊果酸干预后鼻黏膜杯状细胞数量减少
图2 熊果酸干预后鼻黏膜胶原沉积量减少
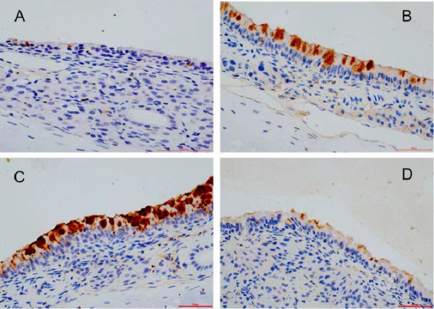
图3 熊果酸干预后鼻黏膜黏MUC5AC蛋白表达量减少
参考文献
[1] Sun N, Deng C, Zhao Q, Han Z, Guo Z, Wang H, Dong W, Duan Y, Zhuang G, Zhang R. Ursolic Acid Alleviates Mucus Secretion and Tissue Remodeling in Rat Model of Allergic Rhinitis After PM2.5 Exposure. Am J Rhinol Allergy. 2021 Mar;35(2):272-279. doi: 10.1177/1945892420953351.
专家简介:

孙娜
中国鼻病研究协作组成员。
中国中西医结合学会耳鼻咽喉科专业委员会鼻颅底及嗅觉专家委员会委员。
上海市中西医结合学会耳鼻咽喉科专业委员会委员。
《中华临床免疫和变态反应杂志》中青年编委。
主持和参与国家自然科学基金、上海市科委等科研项目多项,获得华夏医学科技奖1项、上海市科技进步奖2项,发表学术论文20余篇。
复旦大学博士研究生“国家奖学金”,复旦大学“一健康基金”新冠肺炎疫情防控特别奖优秀研究生奖获得者。
擅长过敏性鼻炎、急慢性鼻炎、鼻窦炎,咽喉炎,声带息肉,声带白斑、鼻咽癌及喉癌等耳鼻咽喉疾病的诊断与治疗。在鼻腔及鼻窦疾病的内镜微创手术、喉嗓音疾病内镜微创手术、过敏性鼻炎的微创治疗、免疫治疗及中西医结合治疗有丰富的临床经验。
专家门诊时间:每周三下午
专家门诊地点:上海市静安区延安西路221号华东医院总院 7号楼4楼耳鼻喉科门诊
本文作者/孙 娜
(复旦大学附属华东医院耳鼻喉科)
插图来源/摄图网
执行主编/尹学兵
值班编辑/李 晓
文中图片均获版权方授权

有任何意见、建议、投稿,欢迎 发送到邮件sjyl1901@163.com