一、发展历程
2009年,上海交通大学医学院附属瑞金医院购入世界上最先进的瑞典产Leksell Perfexion伽玛刀,并成立伽玛刀中心。经过严格的环评,设备安装,设备调试后,2012年伽玛刀中心开始治疗病人。成立之初,伽玛刀中心作为一个临床治疗组隶属于神经外科二病区。拥有专职伽玛刀临床医师3人,物理师2人,高级职称3人,中级职称2人,初级职称1人。

二、伽玛刀中心的优势:
1、较高的起点:瑞金医院是享誉全国,上海综合排名第一的大型公立三甲医院,瑞金医院也是上海市最早拥有瑞典Leksell Perfexion伽玛刀的公立三甲医院。
2、强大的团队:伽玛刀中心为瑞金医院神经外科一个临床治疗组,依托神经外科及中枢神经系统多学科会诊中心强大的专家团队。
3、规范的诊疗:所有患者都需要收治入院,按照神经外科常规手术的要求进行术前准备、术前讨论、规范治疗及定期随访管理。
4、完善的保障:瑞金医院伽玛刀治疗项目已纳入上海市城镇医保报销目录,外地患者可以享受异地医保。

2019年因医院发展需要,伽玛刀中心整体由32号楼一楼搬迁至3号楼一楼,患者就医环境大大改善。

三、中心特色
1、伽玛刀联合Ommaya囊穿刺引流术治疗巨大囊性脑转移瘤。穿刺引流可迅速改善占位效应,减少神经功能损害,结合伽玛刀治疗,提高病灶的局控率,当囊性病灶位于脑干等重要功能部位时,治疗效果更加明显。2018年12月,我们在上海脑转移瘤高峰论坛分享了此项经验。

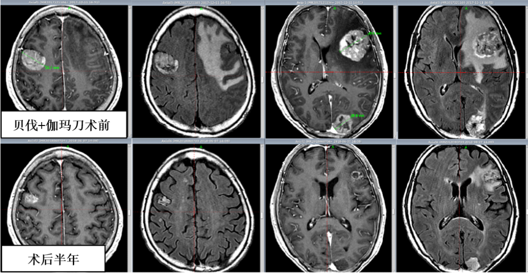
2、伽玛刀联合贝伐珠单抗治疗多发巨大脑转移瘤。经5年使用观察,该方法在提高病灶局控率、延长患者生存期的同时快速、显著降低了神经功能的损害,提高患者生存质量,为多发巨大脑转移瘤临床治疗的新思路。2019年神经外科分会肿瘤学组会议上我们分享此经验。

3、伽玛刀治疗眶内球后占位,保全视力视野、改善突眼症状。球后占位患者常伴有突眼、视力下降及视野缺损,伽玛刀分割治疗可快速缓解突眼症状,减轻视神经压迫,再逐步“吃掉”残余肿瘤。该方法是眶内球后占位最有效的治疗手段之一。

四、科研教学
在医院及科室领导的大力支持下,伽玛刀中心在医教研方面稳步发展。结合专业特点,中心共申请实用新型专利4项。

科研方面,中心科研团队主要从事脑胶质瘤伽玛刀治疗的临床和基础研究。中心目前共申请课题10项,发表SCI论文30余篇。教学方面,指导研究生3名,首届毕业生获上海交通大学“优秀毕业生”称号。

五、专家简介

孙伯民
上海交通大学医学院附属瑞金医院功能神经外科主任,脑机接口与神经调控中心主任,医学博士,博士生导师。
目前担任世界立体定向及功能神经外科学会(WSSFN)副秘书长,亚-澳立体定向功能神经外科学会(AASSFN)执行委员会委员, 亚洲癫痫外科学会常务,中国医师学会神经调控专业委员会副主任委员,中国功能神经外科专家委员会副主任委员,中国康复医学会帕金森病与运动障碍专业委员会副主任委员,中华医学会神经外科学会功能神经外科组委员,中华医学会第四届医疗鉴定专家库成员。《中华神经科杂志》通讯编委,《Stereotactic and Functional Neurosurgery Journal》、《中国微侵袭神经外科杂志》、《临床神经外科杂志》编委,《World Neurosurgery》、《Neurosurgery》、《Journal of Neurosurgery》特约审稿人。
在世界上首次报告内囊前肢毁损产生脑葡萄糖代谢网络改变(2001)、丘脑底核电刺激治疗肌张力障碍(2003),在国际上首创手术治疗神经性厌食症(2006)并在世界上发表第一篇脑深部电刺激治疗神经厌食症(2012)和第一篇内囊前肢毁损治疗神经性厌食症(2017),并作为唯一的中国神经外科医师参与编著《尤曼斯神经外科》第七版。近年来在Movement Disorders, Biological Psychiatry, Neurosurgery, Journal of Neurosurgery, Parkinson and related disorders 等SCI杂志发表论文六十余篇, 其中厌食症手术治疗获得Neurosurgery 2019年度功能神外最佳论文称号。
主编专著《Neurosurgical Treatments for Psychiatric Disorders》并参编本领域的权威专著《Stereotactic and functional neurosurgery》 、《Operative neuromudulation》 、《Neuromudulation》、 《Youmans & Winn Neurological Surgery》 ,主持多项国家自然科学基金等科研项目。
带领瑞金医院功能神经外科团队每年完成帕金森病、肌张力障碍、癫痫、精神疾病等各种疑难神经精神疾病1000余例,其中脑深部电刺激的植入和精神疾病手术均为世界领先。

潘斯俭
主任医师,教授,神经外科学博士,硕士生导师。
主持伽玛刀中心日常诊疗工作。
师从我国著名神经外科专家孙青芳教授,孙伯民教授,卞留贯教授及沈建康教授,具有较强的临床和科研能力。2000年开始从事神经外科工作,为国内较早从事伽玛刀治疗工作的学者之一,具有丰富的伽玛刀临床治疗经验。
曾先后前往瑞典-斯德哥尔摩全球伽玛刀培训中心及美国-克利夫兰医学中心访问学习。参加了2010年希腊-雅典第15届,2012年澳大利亚-悉尼第16届,2014年美国-纽约第17届,2016年荷兰-阿姆斯特丹第18届,及2018年阿联酋迪拜国际伽玛刀研讨会,以及2019年巴西里约热内卢第14届国际立体定向放射外科学大会。
社会兼职:世界华人神经外科医师协会放射外科专家委员会常委;中国医师协会放射外科专家委员会委员;上海医学会神经外科分会青年委员会副主委;上海医学会神经外科分会功能学组副组长;主持国家自然科学基金、上海市科委及卫生局课题10项,发表SCI收录文章30余篇。
临床特长:1、颅内肿瘤、脑血管畸形及功能性疾病的伽玛刀治疗;2、癫痫及颅内肿瘤的外科手术治疗。
专家门诊:周一上午,周三上午。

胡良运
伽玛刀物理师,副主任技师。
负责伽玛刀手术定位、治疗方案设计及其质量控制和质量保证。
从事伽玛刀治疗工作20年,申请专利2项,参与课题3项,发表论文15篇,其中SCI论文7篇。
研究方向:中枢神经系统肿瘤的基础研究及伽玛刀治疗。
社会兼职:世界华人神经外科医师协会放射外科专家委员会委员,亚洲立体定向与功能神经外科协会会员,中国生物医学工程学会会员。
文章来源/神外前沿
执行主编/尹学兵
值班编辑/七 七
文中图片均已获版权方授权
 
 
  有任何意见、建议、投稿,欢迎 发送到邮件sjyl1901@163.com
 有任何意见、建议、投稿,欢迎 发送到邮件sjyl1901@163.com